당국 미얀마에서 말라리아 감염자 유입된 것으로 파악

[월드투데이 이흥재 기자] 태국에서 코로나19 관련 규제 완화와 무증상 감염자의 영향으로 올해 감염자가 급증했다고 당국이 발표했다.
31일 방콕포스트에 따르면 올해 태국의 말라리아 감염자는 8천229명 보고돼 작년 연간 감염자의 2.5배 수준으로 급증했다.
2016년 태국은 2024년까지 말라리아 국내 감염을 없애겠다는 계획을 발표했으며, 감염자는 점차 감소하는 추세를 보였다. 근년 코로나의 영향으로 이동이 제약되면서 말라리아 감염자는 더 큰 폭으로 감소했다.
그러나 올해 다시 코로나19로 인한 제약이 완화되면서 감염자가 크게 늘어났다. 보건부 질병통제국은 탁주와 매홍손주, 깐짜나부리주, 랏차부리주 등 미얀마와 국경을 맞댄 지역에서 말라리아 환자가 급증한 점을 말하며 미얀마에서 태국으로 들어오는 사람들이 늘어난 것이 말라리아 급증 원인 중 하나라고 분석했다.
또한, 감염자 90% 이상이 무증상인 탓에 말라리아가 소리 없이 널리 퍼졌다고 당국은 설명했다.
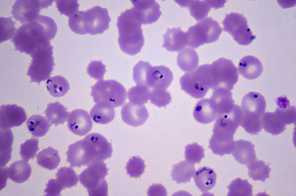
대부분 열대 지역에서 발생하는 말라리아는 가장 위험한 전염병 중 하나로 꼽힌다. 세계에서 매년 약 1억5천만명의 환자가 발생하는 것으로 알려졌다. 말라리아는 주로 모기가 말라리아 원충을 옮겨 전파하는 것으로 알려졌다. 원충 감염 후 2주~수개월 뒤에 오한과 고열 등과 함께 빈혈, 두통, 혈소판 감소, 비장이 비정상적으로 비대해지는 증세 등을 보인다.
관련기사
이흥재 기자
good200896@naver.com

